Zahnröntgen & Zahnbehandlung beim Tier in Linz / Urfahr-Umgebung

Durch die besondere Form und Stellung ihrer Zähne neigen Fleischfresser viel weniger zu Karies als Menschen. Andere Probleme, wie Fehlstellungen, persistierende Milchzähne, Zahnwurzelerkrankungen, Zahnfrakturen, Zahnstein und Entzündungen der Maulschleimhaut kommen jedoch häufig vor. Manchmal gibt Maulgeruch einen Hinweis auf die Zahnerkrankung, aber es kann sein, dass ein Tier ganz normal und mit Appetit frisst, obwohl in der Maulhöhle einiges im Argen liegt. Der Blick auf die Zähne ist deshalb ein wichtiger Bestandteil jeder Gesundenuntersuchung bei Hund und Katze.

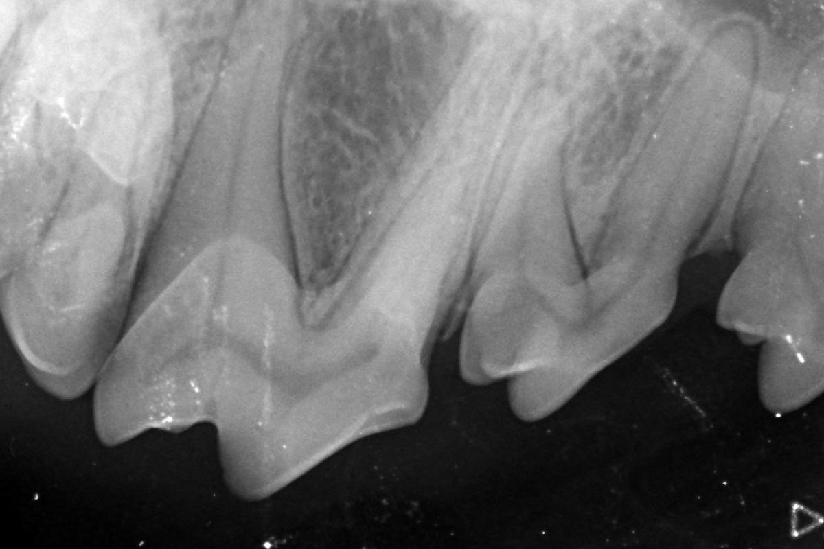
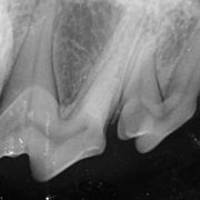
Dentalröntgen in der Tierarztpraxis Dr. Mayr in Linz / Urfahr-Umgebung

Bei einer Zahnuntersuchung ohne Röntgenbild können nur die Zahnkronen und das Zahnfleisch beurteilt werden, alles darunter bleibt verborgen. Erst mithilfe des Dentalröntgens können auch schmerzhafte pathologische Prozesse der Zahnwurzeln erkannt und behandelt werden. Durch die Röntgenaufnahme direkt in der Maulhöhle kommt es zu keinen Überlagerungen, Zähne und Wurzeln sind besser sichtbar. Das ist speziell bei Katzen wegen der Möglichkeit einer schmerzhaften Zahnresorption wichtig, aber auch bei anderen Tierarten ist intraorales Röntgen von großem Vorteil.

Zahnbehandlungen bei Meerschweinchen, Kaninchen, Nagern

Anders als die Zähne von Hunden oder Katzen, die aus Krone, Hals und Wurzel bestehen, sind die Zähne der Pflanzen- und Körnerfresser nicht in Abschnitte unterteilt. Tief im Kiefer liegt das Zahnsäckchen, dort wird ein Leben lang ständig neues Zahnmaterial gebildet. Die Backenzähne zermahlen das Futter zu einem feinen Brei, der abgeschluckt wird. Dabei kommt es zu einem ständigen Abrieb des Zahnes. Solange Abrieb und Bildung von Zahnmaterial im Gleichgewicht sind, ist alles in Ordnung. Leider kann unpassende Fütterung oder Einspießen von Pflanzenteilen zwischen den Zähnen zu Entzündungen, Schmerzen und ungleichmäßigem Abrieb führen. Die Folge sind Kieferfehlstellungen und Abszesse, die im schlimmsten Fall zum Bruch des Kieferknochens führen. Frühzeitige Erkennung und Behandlung ist daher enorm wichtig. Wir führen in unserer Ordination eine entsprechende Zahnkorrektur bei Ihrem Nager durch.

 

Sie vermuten Zahnprobleme bei Ihrem Haustier? Dann vereinbaren Sie gleich einen Termin für ein Zahnröntgen & Zahnbehandlung bei Tierarzt Dr. Mayr in Linz / Urfahr-Umgebung

Haben Sie Fragen?

Nehmen Sie Kontakt mit uns auf - wir freuen uns auf Sie! Terminvereinbarungen nehmen wir gerne telefonisch entgegen.